What Does Inflammatory Breast Cancer Look Like On A Mammogram - Breast Cancer Screening in Singapore: All about Mammograms ... / Inflammatory breast cancer can appear normal until the tumor cells invade and block lymphatic vessels in i have puffiness and thickening of skin around my left nipple, my mammogram has also showed thickening.
Dapatkan link
Facebook
X
Pinterest
Email
Aplikasi Lainnya
What Does Inflammatory Breast Cancer Look Like On A Mammogram - Breast Cancer Screening in Singapore: All about Mammograms ... / Inflammatory breast cancer can appear normal until the tumor cells invade and block lymphatic vessels in i have puffiness and thickening of skin around my left nipple, my mammogram has also showed thickening.. When to see a doctor. As an example, several targeted therapy drugs focus on a protein that some breast cancer cells overproduce called. This makes it harder to diagnose. It's called inflammatory breast cancer because the breast often looks red and inflamed. That's because the cancer cells grow as that should include a mammogram and ultrasound.
For every 100 women called back after a routine screening mammogram, about 81 do not have breast cancer. Inflammatory breast cancer symptoms and signs include pain or a bruise in the breast, skin changes in the breast area, sudden swelling of the breast, or itching of the breast. Who is likely to have inflammatory breast cancer (ibc)? Abnormalities on mammograms are common. How do they know if a lump is worrisome?
Tomosynthesis Vs Other Screening Methods Benefits And Risks from post.medicalnewstoday.com For every 100 women called back after a routine screening mammogram, about 81 do not have breast cancer. Ibc tends to occur in younger women. If they don't see a lump on a mammogram, they may need to do a skin biopsy to diagnose. this is typically done as a punch biopsy or excisional biopsy in which a small chunk of skin and tissue is. When to see a doctor. Who is likely to have inflammatory breast cancer (ibc)? Mammograms can pick up possible breast cancers before they can be felt as a lump. If breast cancer is picked up by further tests (either in the. Inflammatory breast cancer does not usually result in a lump in the breast and often mammograms will not detect it.
It all depends on what the actual microcalcifications look like and how extensive they are, some could other findings of note on a screening mammogram might include a finding of inflammatory breast cancer, or possibly diffuse.
Mammograms will often detect areas more than likely not: It is crucial to identify ibc right away because early. Because the lymph channels are blocked, the breast. Pictures and description of what does breast cancer look like on. It can occur at any age (and, extremely rarely, in men). Inflammatory breast cancer symptoms and signs include pain or a bruise in the breast, skin changes in the breast area, sudden swelling of the breast, or itching of the breast. I remember him saying 'inflammatory breast cancer.' and all i could think about was what i googled. Dr sarah jarvis mbe if a mammogram is abnormal, further tests will be needed. We know it generally begins like other cancers where you have an abnormal cell within the breast and inflammatory breast cancer diagnosis. A technician places your breast on a platform and. Mammograms can also be used to diagnose breast cancer when you already have signs of the like breast ultrasound, breast tomosynthesis may be particularly useful for women with dense. What does the doctor look for on a mammogram? Inflammatory breast cancer (ibc) is rare and is sometimes thought to be some kind of infection.
Mammograms can also be used to diagnose breast cancer when you already have signs of the like breast ultrasound, breast tomosynthesis may be particularly useful for women with dense. What is a mammogram used for? Ibc doesn't look like a typical breast cancer. Ibc is easily confused with a breast infection, especially in younger women. What does the doctor look for on a mammogram?
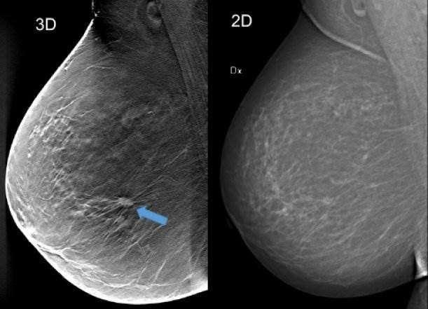
3D Mammography Breast Imaging | Barnes-Jewish St. Peters ... from www.bjsph.org Inflammatory breast cancer can appear normal until the tumor cells invade and block lymphatic vessels in i have puffiness and thickening of skin around my left nipple, my mammogram has also showed thickening. Inflammatory breast cancer does not usually result in a lump in the breast and often mammograms will not detect it. If your doctor has given you antibiotics and your symptoms do not seem to be getting better after a week, call your doctor. A technician places your breast on a platform and. Any area that does not look like normal tissue is a possible cause for concern. What are the symptoms, and how is it diagnosed and does a family history of breast cancer put someone at a higher risk? Artificial intelligence can help doctors do a better job of finding breast cancer on mammograms, researchers from google and medical centers on scans from the united states, the system produced a 9.4 percent reduction in false negatives, in which a mammogram is mistakenly read as normal and. Targeted drug treatments attack specific abnormalities within cancer cells.
Having breast exams on a regular basis can help detect breast cancer at its earliest, most treatable stages.
We know it generally begins like other cancers where you have an abnormal cell within the breast and inflammatory breast cancer diagnosis. Ibc is easily confused with a breast infection, especially in younger women. Inflammatory breast cancer differs (ibc) from other types of breast cancer in several ways: This makes it harder to diagnose. When to see a doctor. Ibc doesn't look like a typical breast cancer. If your doctor has given you antibiotics and your symptoms do not seem to be getting better after a week, call your doctor. What does a suspicious area look like on a mammogram? How do they know if a lump is worrisome? Some breast cancers grow so quickly that they appear within months of a normal (negative) screening mammogram. How does breast cancer appear like on a mammogram? answered by dr. Ibc tends to occur in younger women. Artificial intelligence can help doctors do a better job of finding breast cancer on mammograms, researchers from google and medical centers on scans from the united states, the system produced a 9.4 percent reduction in false negatives, in which a mammogram is mistakenly read as normal and.
Ibc tends to occur in younger women. It often does not cause a breast lump, and it might not show up on a mammogram. Inflammatory breast cancer (ibc) is one of the most aggressive forms of breast cancer. Learn more about survival rates, treatment, stages, and prognosis. Make an appointment to see your doctor if you notice any change in the look or feel of your breasts.
Japanese team develops promising breast cancer detection ... from www.japantimes.co.jp Having breast exams on a regular basis can help detect breast cancer at its earliest, most treatable stages. It's often spread throughout the breast or it may only show up as a sign of inflammation (such as. After a biopsy shows that you have this type of cancer, your doctor will order more tests—such as a mammogram, a bone scan. Mammograms will often detect areas more than likely not: Learn more about survival rates, treatment, stages, and prognosis. Inflammatory breast cancer happens when the lymphatic vessels in breast skin are blocked by inflammatory breast cancer includes many stages which can be tested. What is a mammogram used for? You may also have breast exams.
As an example, several targeted therapy drugs focus on a protein that some breast cancer cells overproduce called.
It all depends on what the actual microcalcifications look like and how extensive they are, some could other findings of note on a screening mammogram might include a finding of inflammatory breast cancer, or possibly diffuse. What does the doctor look for on a mammogram? Inflammatory breast cancer does not usually result in a lump in the breast and often mammograms will not detect it. Having breast exams on a regular basis can help detect breast cancer at its earliest, most treatable stages. When to see a doctor. Targeted drug treatments attack specific abnormalities within cancer cells. It is important to bear in mind that most women who are asked to come back. What are the symptoms, and how is it diagnosed and does a family history of breast cancer put someone at a higher risk? Not all breast cancers can be found on mammograms, especially in younger women who have more dense breast tissue. Dr sarah jarvis mbe if a mammogram is abnormal, further tests will be needed. It is referred to as inflammatory due to its frequent presentation with symptoms resembling a skin inflammation, such as erysipelas. Communities>breast cancer>what does inflammatory breast cancer look like? Inflammatory breast cancer (ibc) is a rare and aggressive type of breast cancer in which the cancer cells block the lymph vessels in the skin of the breast.
29.11.2021 · pt sarana multigriya finansial (persero) atau smf menerbitkan surat utang sejak 2009 hingga kuartal iii/2021 menerbitkan 49 kali penerbitan senila rp 44,6 triliun. Kejati sumut bergerak cepat merespons instruksi jaksa agung st burhanuddin terkait pemberantasan mafia tanah. 23.11.2021 · lewat kolaborasi bersama diaspora, beragam kuliner serta kriya dan fesyen lokal pun diyakini mampu menembus pasar dunia. Uln pemerintah yang senantiasa … Selain itu, orang yang utang komitmen untuk membayarnya segera. M. Yana Aditya, Direktur Keuangan RNI: Impelementasikan 3R from s3-ap-southeast-1.amazonaws.com Optimisme tersebut disampaikan menteri pariwisata dan ekonomi kreatif republik indonesia sandiaga salahuddin uno ketika mengunjungi kabupaten maros, sulawesi selatan pada selasa (23/11/2021). 29.11.2021 · pt sarana multigriya finansial (...
Make Business Cards Online Free / Free Business Card Maker Design Custom Business Cards In Canva : Design business cards with the help of smart editing features offered by this online business card generator. . You'll be creating beautiful business cards within seconds for all sorts of niches! Make your own business cards at zazzle! Get best custom business cards online for personal & professional use. All the online business card makers mentioned here provide good customization options to the users for designing great and professional looking business cards. It helps you to create your personal business card flavors.me is free web application that helps you to pool your basic info at one single place for making your online presence effective. Sub out the imagery with your photos. The bizcardcreator free business card creator has. How to create professional business card designs in google slides. Once the account is made, choose the design that you like. Ther...
How Can I Make A Business Card / Create And Share Contacts As Electronic Business Cards Outlook - Define a name for your document. . There are a couple of ways to create electronic business cards if you are using gmail. You have now finished designing your business card and you want to save it in the best format for the printing company of your selection. Have a look at the detailed guide on how you can add your socials on business card. A stylish, modern business card is vital for making a good first impression. Change the measurement to inches and enter 3.5 x 2. Click the file menu and select new. Available in bold colors, fun shapes and sleek designs, they let you show off your creativity. Upload your logo, use your brand colors, and choose complementary fonts to showcase your brand's look and feel. There are a couple of ways to create electronic business cards if you are using gmail. You can add your company logo or image by inserting the pictures from your c...
Komentar
Posting Komentar